Orthodontics for Children in Appleton, Wisconsin
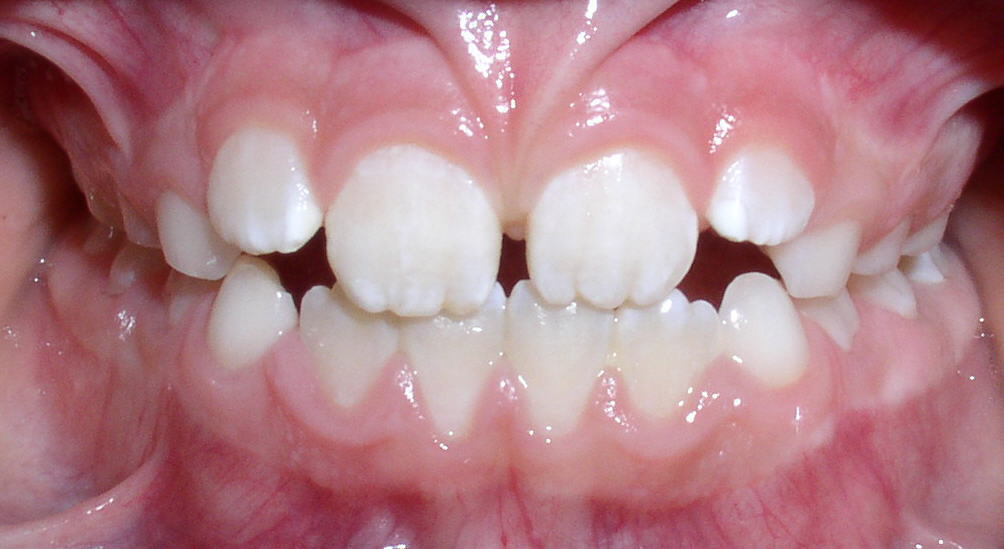
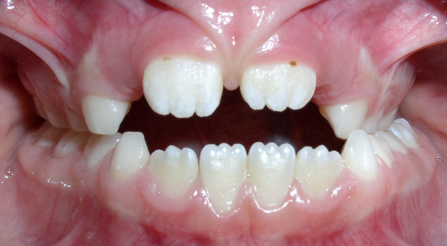
The American Association of Orthodontists (AAO) recommends that children be seen by an orthodontist by age 7. The first permanent molars and incisors have usually erupted by this time.
Phase I Treatment, or early interceptive treatment, is limited orthodontic treatment before all of the permanent teeth have erupted. Phase I treatment can be of benefit for significant tooth crowding, functional bite mismatch or jaw growth disharmony. For most children and adolescents, there is an optimized time to begin treatment. Dr. Gabler or Dr. Hanson will recommend if Phase I treatment is needed. For many children, it may be best to wait until all permanent teeth have erupted.

Phase II Treatment is also called comprehensive orthodontic treatment. It involves full braces or upper/lower Invisalign aligners when all of the permanent teeth have erupted, usually between the ages of eleven and thirteen. Dr. Gabler or Dr. Hanson examines each individual to determine and customize their treatment plan.





